
こんばんは。
チームバックエンドの里見がお送りします。
年の瀬が近づき、1年の早さをしみじみ感じるこの頃です。
インフルエンザが猛威を振るっていますが、
暖かくして、しっかり免疫力をつけながら、
元気に年末年始を迎えたいですね。
わが家では、毎日下校後の子どもたちに
「今日は何人お休みだった!?」と聞いてしまう、ちょっと心配性なかあちゃんです。
Contents
もうチェックされましたか?
インプラントに対して知識が薄かった私は、
動画を見る前と後で、
臨床での「見える世界」が劇的に変わったのを実感しています。
以前は「何も感じていなかった」症例のレントゲンから、
今ではインプラント周囲炎の兆候を読み取れるようになりました。
自分でも変化にビックリ!!
今回は、ラプレッスンの『インプラントメインテナンス』から得た知識をもとに、
担当症例(患者様の掲載許可済み)へのアプローチが、どのように変化したのか、
実例を通じて具体的に解説していきます。
先日は、専門知識を持つ更谷がインプラントについてブログで解説しています。
今回はそれと対照的に、
「インプラントについて無知だった自分が、講義動画を見て何に気づけるようになったのか」
をテーマにお届けします!
お恥ずかしながら私はこれまで、
インプラントに対して専門的な知識がありませんでした。
現在勤めている医院では
インプラントはしておらず、選択肢として
インプラントも説明することもありますが、
当院ではできないとお伝えしています。

ある70歳代の女性患者さん(左上3インプラント、約10年前に他院で埋入)が
初診で来院され、患者さんから
「インプラントをしてもらった医院は閉院していて、何かあっては困るからインプラント部位は何も触らないで欲しい」
と強く要望されていました。
そのため初診から1年2ヶ月のインプラント部の関わりは
■してきたこと
PMTC・フロッシング
■していなかったこと
SC・プロービング・X線写真の診査
当時の私はパノラマ写真でインプラント部を見ても「何も感じていなかった」、
つまり「存在をスルーしていた」というのが正直なところです。
患者さん自身、インプラント部に自覚症状はありません。
レントゲンでの骨吸収を見た際、
それが生理的な変化なのか、病的な変化なのかを見極める必要があります。
特にインプラント周囲炎は、
お椀状の骨吸収が起こるという特徴があるとのことでした。
健康なインプラント周囲組織の安定とは、
病的な骨吸収がないこと、感染がないことなどが揃って初めて言える状態です。

診査においては、染め出しを行ってプラークを可視化する必要があります。
また、この症例のようにベースラインが不明な場合、インプラント周囲炎の指標として
が重要視されます。
まずは正常を知ること、そして異常を知ること。
これが私の見える世界が変わった1番の内容だと感じます。
これらの内容は「インプラントメインテナンス03.インプラントの基礎知識編③」をご覧ください!
こちらの動画は本来、有料会員様のみ視聴可能なプレミアム動画ですが、
12/25までは、無料で視聴できます!
インプラントの知識を得てから、担当患者さんのメンテの日。
動画を見てから改めて初診時のパノラマを見ると、以前は「何も感じていなかった」インプラント部が、「異常な骨吸収」であると感じられるようになりました。
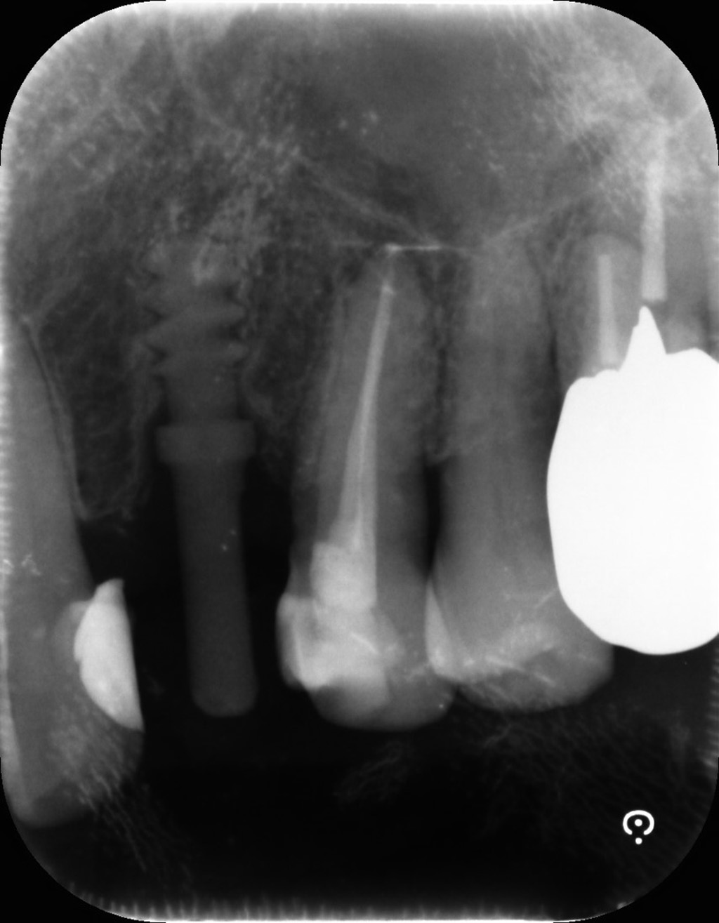
そして1年に1回は経過を確認するためにX線写真の撮影も必要ということで、デンタルを撮影してみました。
レントゲン上には、動画内で指摘されていたお椀状の骨吸収がある!
と今の私は読み取ることができます。
お椀状の骨吸収はインプラント周囲炎の指標です。

↑実際のデンタルです
初診時のパノラマから骨吸収の変化はありませんでした。
『ベースラインと比較して変化はなし』であるという気付きと、初診時から周囲炎の特徴を示していたが、見つけられていなかったことに気が付きました。
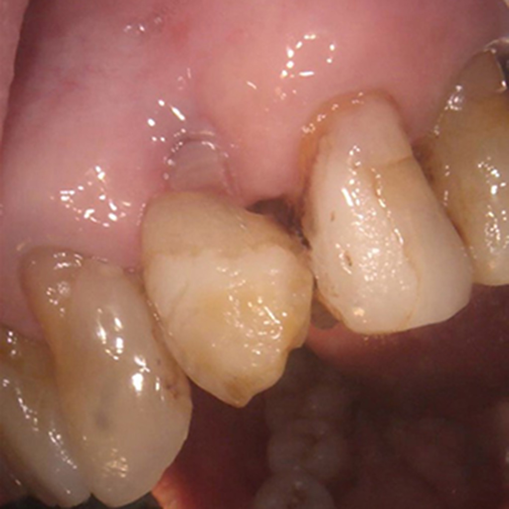
患者さんの「触らないで」の要望でこれまで避けていたプロービングを、知識に基づき説明し実施しました。
口蓋側近心部でのみ6mmのポケットを確認しました。
出血や排膿、浸出液は確認されませんでした。

いま私は「無知は怖い!」という意識を持ち、インプラントを無視できなくなりました。
インプラント治療のゴールは上部構造装着ではなく、メインテナンスに入ることです。
DHの役割は、「小さな異常を見つけ、重症化を防ぐ」こと。
今後は、患者さんの状態を確認するため、
を実施し、変化がないかを確認していく予定です。
インプラントの長期安定には、
「気にかける・セルフケア・定期管理」の3つが大切です。
只今、動画の続きを撮影中&編集中です。
この先はいよいよ、診査方法やメンテの内容に入っていきます。
今後の更新をお楽しみに!
一緒にインプラントの知識を深め、
患者さんの口腔内を長期的に守っていきましょう。
北海道旅行へ行って来ました!

その1週間後には研修旅行で淡路島へ

11月お誕生日の更谷とともに
メンバーからサプライズのお祝いをしていただきました。
大好きなラ・プレシャスメンバーと楽しい時間を過ごせて幸せいっぱいです!

DHワークの基本のキ!
ライティングを使いこなすと、施術中にライトの位置付けを変えることが減りメンテの時短につながります。
リアルタイムのオンラインセミナーで配信されたもので、
いつものラプレッスンとは少し違う様子も楽しんでください☆

今回は下顎前歯部の撮影手順です。
臼歯と比べるとインジケーターのセッティング位置は確認しやすく撮影はしやすい部位ですが、インジケーターの角度と骨隆起に注意が必要です。
バイトピースの手前を噛むことで角度が設定しやすくなります。
NG例とOK例を動画でチェックしてみましょうー!

いつもラプレッスン、ラプクリをご利用いただきありがとうございます。
ラプレッスンは 2025年12月27日(土)~2026年1月5日(月)まで冬季休業 とさせていただきます。
▼年末年始の動画更新スケジュール
ベーシック動画
※新カテゴリー公開準備のため、ベーシック動画は1週早くお休みに入らせていただきます。
プレミアム動画
休業期間中にいただいたお問い合わせは、
1月6日(火)以降 に順次ご返信いたします。
今年も動画をたくさんご視聴いただき、
本当にありがとうございました。
来年も、みなさまの学びにつながる動画を
お届けしてまいりますので、どうぞよろしくお願いいたします。
歯科衛生士の診療に
役立つ情報を発信!