
みなさん、こんばんは。
今週は、インストラクターの檜皮が
担当します!
今回は、
「歯科用語のアップデート」について
まとめてみたのですが、
檜皮が歯科衛生士になったのは
遥か昔、30年以上も前のこと、、、
Contents
現在では、当たり前のように
歯科の治療法や器具や機械、
用語もその頃とは変化を遂げています。
その頃よく行われた治療法で
アマルガムなど
今はもう使用されていないものも多く、

出典:OralStudio歯科辞書
他にもレントゲンの現像は、
ボックスの中に手を入れて手探りで現像する
「箱の中身は何だろなシステム」
だったりしました。

(写真引用元 MORITA DENTAL PLAZA)
現在でも現役の現像機として
訪問診療などで使われていることも
多いようです。
今となっては懐かしい記憶です。
時代とともに、歯科の用語や考え方も
少しずつ変わっています。
その一部を取り上げながら、
みなさんと一緒に「知識のアップデート」を
していきたいと思います!
歯科の世界では、
研究の進歩や国際基準への統一に伴い、
少しずつ用語が変わっているのです。
「以前はこう習ったのに、
今は違う呼び方をする」
そんな経験はありませんか?
これらの変化は単なる言い換えではなく、
病態理解や医療の考え方のアップデートを
反映したものです。
今回は、臨床でよくある
“呼び方が変わった歯科用語” の一部を
整理してみました。
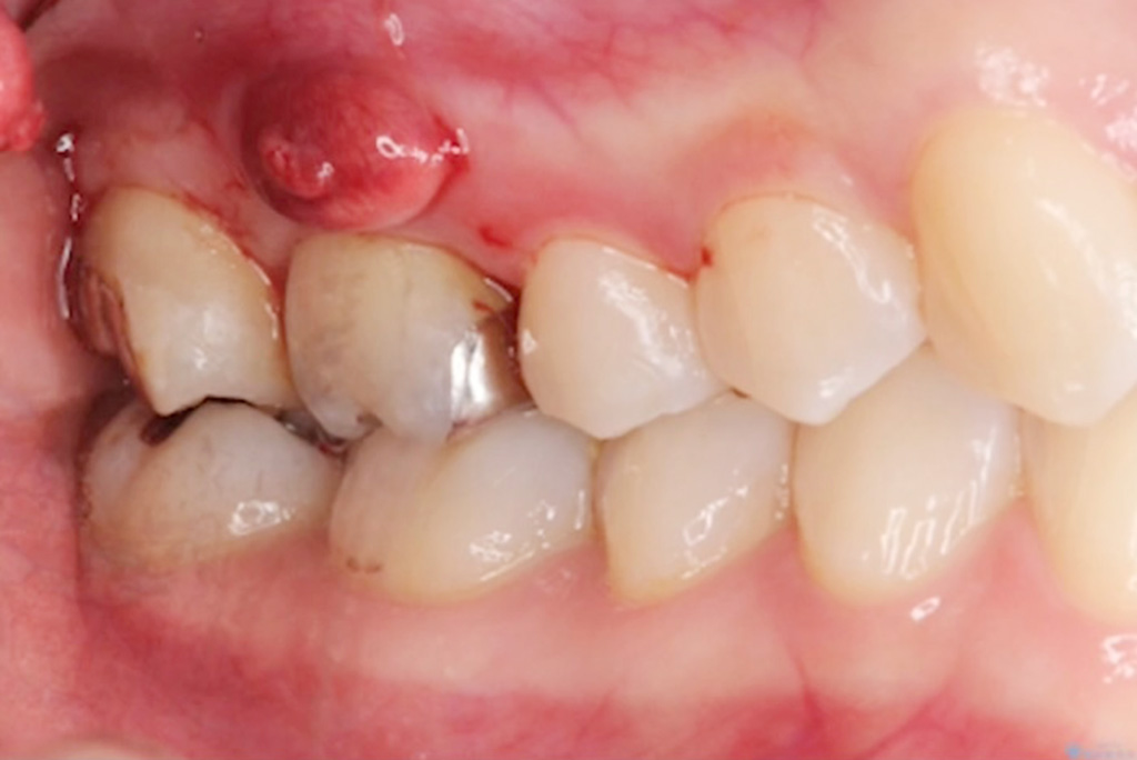
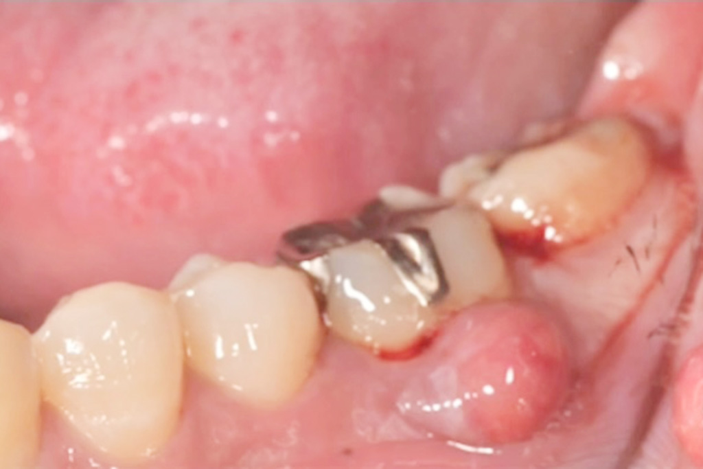
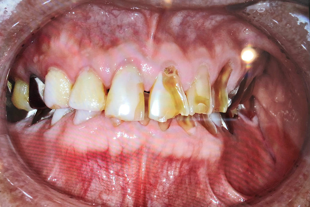
以前は、根尖病変などから
排膿している歯肉の開口部を
【フィステル(瘻孔)】と呼んでいました。
しかし現在は、
サイナストラクト(sinus tract)
という名称が使われることが増えています。


「フィステル」は本来、
を指す医学用語です。
一方、歯科で見られる多くの排膿路は、
そのため、より正確な用語として
【サイナストラクト(排膿路)】が
用いられるようになりました。
以前 | 現在 |
フィステル | サイナストラクト |
瘻孔(交通路) | 排膿路という意味合いが強い |
つまり、
より病態に即した正確な表現へと変わった
ということです。
臨床でも「フィステルですね」ではなく
「サイナストラクトが認められます」と
表現する流れになっています。
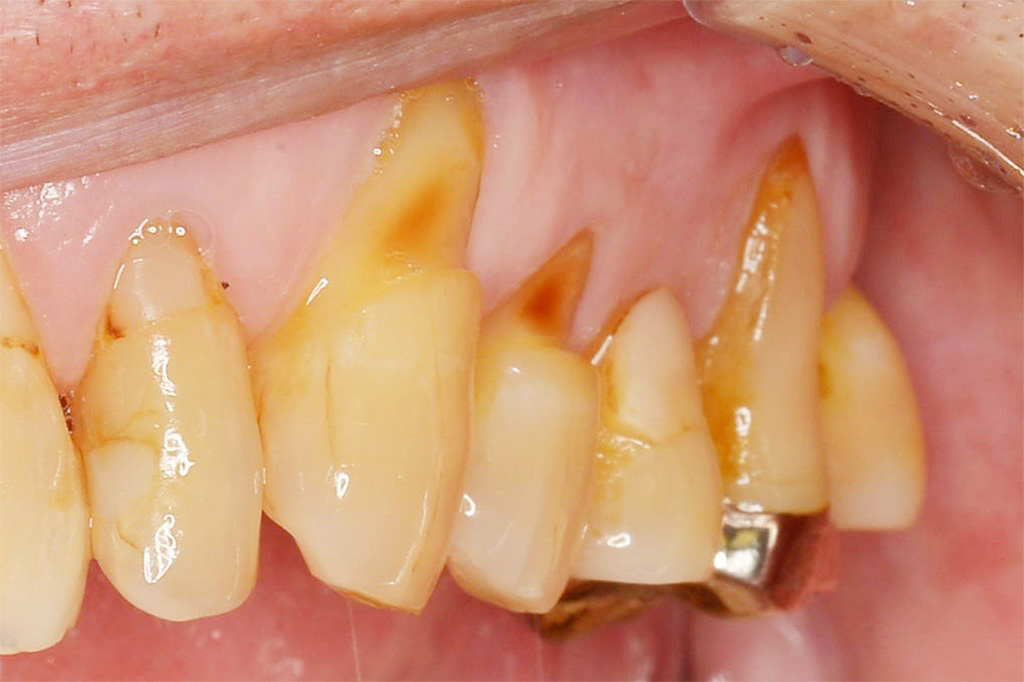
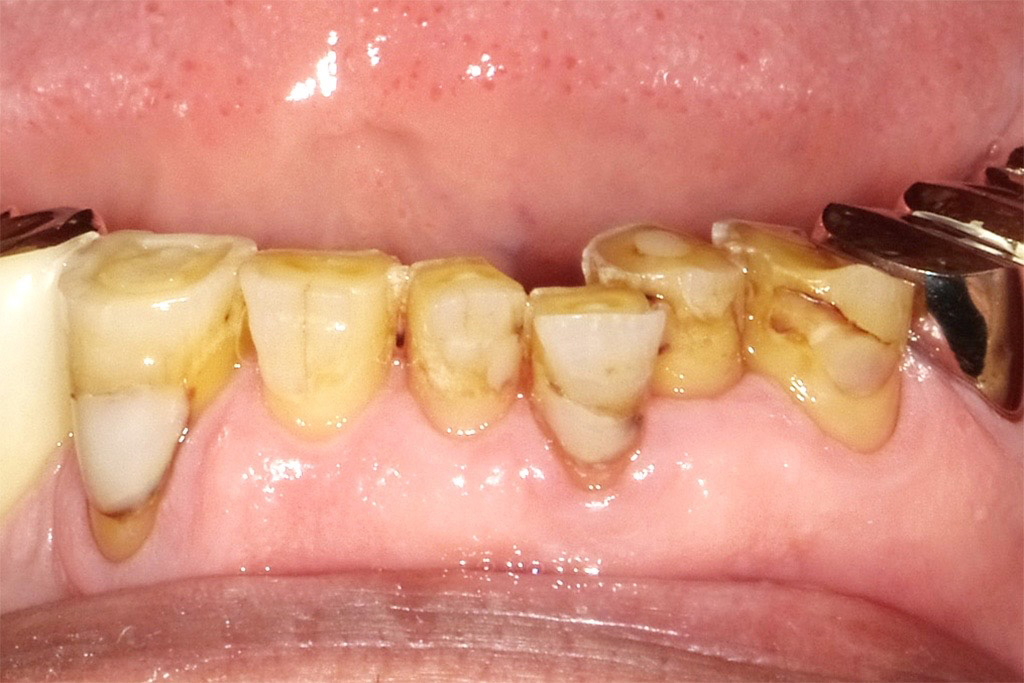
臨床でよく見る歯頸部のくさび状欠損。
以前は「アブフラクション」と
習った方も多いのではないでしょうか?
しかし現在は、
NCCL(Non-Carious Cervical Lesion)
という用語が主流になっています。
今回はその違いを、
歯科衛生士の視点で
わかりやすく整理します。
アブフラクションとは、
咬合力による歯のたわみ(応力集中)で
歯頸部が破壊されるという理論
のことです。
つまり、
「力」が主原因という考え方でした。


研究が進むにつれ、
原因は一つではないことが
分かってきました。
現在は、
NCCL(Non-Carious Cervical Lesion)
=非う蝕性歯頸部病変
という包括的な名称が使われます。
これは、「むし歯ではない歯頸部の欠損」を
まとめて表す言葉です。
これらが組み合わさって起こると
考えられています。
NCCLという大きなカテゴリーの中に、
などが含まれるイメージです。
アブフラクションは
→ 原因を「咬合力」と限定する言葉
NCCLは
→原因を限定しない中立的な病名
現在の歯科医療では、
「まず病変として評価し、
原因は個別に考える」
というスタンスが重視されています。
そのため、学術的にもNCCLという用語が
主流になっています。
NCCLを見つけたら、
原因を一つに決めつけないことが重要です。
包括的に評価することで、
適切な指導につながります。

過去 | 現在 |
アブフラクション | NCCL |
咬合力が主因 | 多因子 |
単一理論 | 包括的概念 |
歯頸部の欠損は
「力だけの問題」ではありません。
だからこそ、
歯科衛生士の評価力と
生活背景のヒアリングが
とても重要になります。

原因は一つではないことが多いです。
ひとつの症例について院長先生やスタッフと
意見交換してみるのもいいですね!
以前はセルフケア指導といえば
【TBI(Tooth Brushing Instruction)】が
一般的でした。
その名の通り、
「歯みがきの方法を教えること」が
中心でした。
つまり、ブラッシング技術の指導が
主な内容でした。

しかし現在は、
【OHI(Oral Hygiene Instruction)】
という表現が主流になっています。
OHIは、
単なる歯みがき指導ではありません。
つまり、
「磨き方」だけでなく、
口腔衛生を維持するための
総合的な支援へと広がっています。
この変化の背景にあるのは、
う蝕や歯周病を
生活習慣病として捉える考え方です。
そのため現在は、
「正しい磨き方を教える」だけではなく
「患者さんが続けられる方法を
一緒に考える」
というスタンスが求められています。
TBIは “技術指導” 中心。
OHIは “行動変容を支える包括的支援” 。
呼び方の変化は、
歯科衛生士の役割の進化を
表していると言えるでしょう。
ラプレッスンでは具体的なTBIについて
患者さんに合わせた歯ブラシ選びや
指導法などを動画で学ぶことができます。
全9回、初回のみ無料公開中です!

インプラントのメンテナンスでどこを診査したら良いのかわからない、と言う方に
診査項目をひとつずつ
わかりやすく解説しているこのシリーズ!
今回は咬合状態のチェックについて。
DHは診断はできないのですが、
いち早くお口の中の違和感に気づき
ドクターへつなげることはできます。
ひとつひとつのポイントを
再確認してみませんか?
明日からの診療にきっと役立つ動画です!

臨床で日常的に使用することの多いシックルスケーラーですが、構造や正しい作業部位など理解することで
安全に、効率よく歯石の除去ができます。
縁上での操作は、
縁下でのSRPの基礎の動きにつながるので
とても重要です!
ぜひ再確認してみてくださいね。
無趣味なことが悩みの檜皮です。
趣味といえるのかどうかですが、
「ガチャにハマっているのでは?」
と家族から言われました。
そういえば休みの日に買い物に出かければ
何かしらのガチャには手を出しています。
歯のシリーズなどあれば、
必死でコンプリートを目指します。
バッグにつけたりはしませんが、
並べて満足しています。
最近はパペットスンスンのあれこれを
集めたくなりました。
でも大人気なので
ガチャはほぼ完売なんです。
やっと見つけたスンスンガチャ!
めちゃめちゃ粘って
スンスン、ノンノン、ゾンゾンが
集まりました!
バッグにつけたい気持ちをグッと抑え、
やっぱり並べてニヤニヤしています。
檜皮のスケーラーケースには
少しずつスンスンが
主張してきている今日この頃です。
まだまだ、
散財してしまいそうな予感がします。

歯科衛生士の診療に
役立つ情報を発信!