
こんばんは、岡村陽菜です!
最近はちょっとした “災難続き” で、
左目にスズメのフンが落ちたかと思えば、
2週間後にはカラスが咥えていた何かが頭に落下…。
そんな珍事件の合間でも、日々たくさんの患者さんと向き合っています。
今日はその中でも、フロス指導のポイントと実践レポート をまとめました。
Contents
患者さんにフロスをすすめても
「難しい」「続かない」「痛い」
こんな声を聞くこと、ありませんか?
フロス指導は “正しい使い方を伝える” だけでは不十分。
患者さんのお口の中の状態に合わせて、道具や伝え方を変えることが大事です。
今日は、
この4つをまとめて紹介します。
まずは正しい “フロスの準備” 方法を並行指導しよう!

大切なのは、患者さんの横に座って、同じ目線で指導することです。
フロスの基本手順は次のとおり。
この流れに沿って、ひとつずつ順番に並行指導していきましょう。
まず見てほしいのがパノラマやデンタルです。
補綴が多いのか?骨吸収があり歯間空隙があるのかを確認します。

歯間空隙が大きい場合は、フロスより歯間ブラシを選択します。
このようなケースでは、
歯間ブラシのほうが 挿入しやすく、
清掃効率も高い ことが多いです。
無理にフロスをすすめるより、
患者さんのストレスを減らし、
習慣化につながります。

修復物が多いと、
どうしても フロスが引っかかりやすいポイント が増え、
患者さんの挫折につながりやすくなります。
そのため、まずは
「どこで引っかかりやすいか」を
一緒に確認・共有すること が大切。
ポイントを理解したうえで指導すると、
成功体験につながり、継続しやすくなります。
このタイプには後述の “輪っかフロス” をおすすめしています。
この方法は初心者に最適!です。


フロスの端と端を結んで輪を作る、通称「輪っかフロス」。
これが初心者にめちゃくちゃ刺さります。
特にインレーが少ない患者さんは、
輪っかフロスの動きがきれいに再現でき、
「できた!」の成功体験が早いと思います!
ここからは実際の変化を紹介します。
今回モデルになったスタッフは、
歯医者は8年ぶり。フロスは “人生で初めて” 。

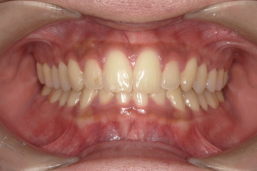
まずは初回の口腔内。
● 初回(フロス経験ゼロ)
カリエスがなく歯科医院に縁がない患者さんの、よくある口腔状態でスタートしました。
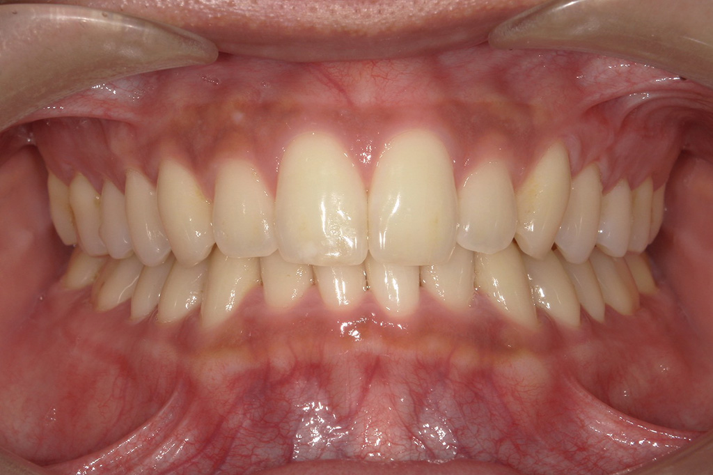
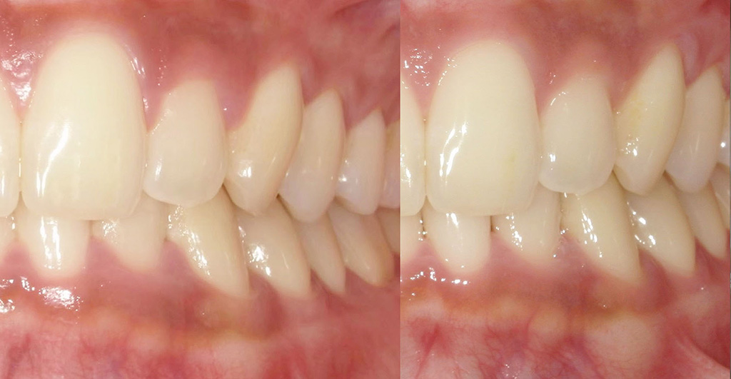
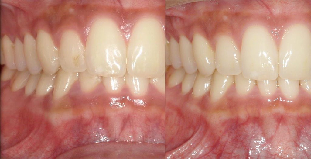
【2ヶ月後】ほぼ毎日フロスしたら…

2ヶ月後、ほぼ毎日フロスを続けた結果を比較してみたのがこちら。

● 歯ぐきの変化

● 清掃状態
● 本人の感想
「フロスするとき、40センチで全顎するのが難しい」
「奥歯が難しい」
「いっぱい取れた時たのしい」
「お肉食べた日すごい取れる」
とのことでした!
フロスは万能ではありません。
大切なのは、
「この患者さんは何が苦手か?」
「どんな方法なら続けられるか?」を見極めること。
フロス指導は “その人に合わせて変える” が正解!
道具の選び方ひとつ、伝え方ひとつで、患者さんの未来は大きく変わります。
ぜひ皆さんも患者さんにあったOHIを行えるように、
患者さんがやってみようと思う8つの指導方法をぜひご覧ください!
プレミアム動画になりますが、12/12までの1週間無料で公開しています。

今年の春に行った
新人さん向けオンラインレッスンをお届けします!
私は身長が150cmしかありません。
先生や先輩の後にチェアを使うと
椅子が高くて覗き込んでしまう姿勢になっています。
皆さんも自分に合った椅子の高さで施術する習慣をぜひつけてみてください!

歯科衛生士として働き始めて2年が経ちましたが、今でもフィルムの位置づけには少し緊張します。
患者さんの歯列や骨隆起の状態によって、
ぴったりとしたポジショニングが難しいこともあります。
それでもやっぱり大事なのは「基本」。
基本をしっかり押さえておくことで、
患者さん一人ひとりのお口に合わせた対応ができると感じています。
普段の業務の中のことだからこそ、
あらためておさらいしてみましょう!
“復習”の気持ちで、一緒に見直していきましょう!
歯科衛生士の診療に
役立つ情報を発信!